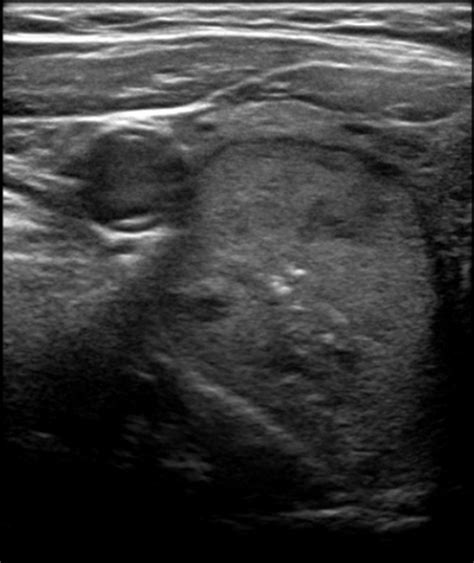
Predominantly solid isoechoic nodule. dominant mid pole left predominantly solid left thyr...

Predominantly solid isoechoic nodule. dominant mid pole left predominantly solid left thyroid nodule subcentimeter solid upper pole left nodule. Benign Thyroid Nodules: -Composition: Often cystic or mixed cystic and solid; more homogeneous. Any time a lump is discovered in thyroid tissue, the possibility of cancer must be considered, but more than 95 percent of thyroid nodules are benign. The margin of fat necrosis ranges from well circumscribed to indistinct or spiculated (Fig. Cystic nodules can be described as pure cysts (if without internal septa) or as polyconcamerated cysts (if with one or more internal septa); predominantly solid or predominantly cystic nodule, instead, can also be called complex nodules. Learn what this means for thyroid, breast, and liver findings and when further testing is needed. Feb 1, 2013 · This study aimed to assess the malignancy rate of solid and isoechoic thyroid nodules without malignant sonographic features (SITNs) and to compare th… Cystic nodules can be described as pure cysts (if without internal septa) or as polyconcamerated cysts (if with one or more internal septa); predominantly solid or predominantly cystic nodule, instead, can also be called complex nodules. If concern arises about the possibility of cancer, the doctor may simply recommend monitoring the nodule over time to see if it grows. May 21, 2025 · The thyroid parenchyma appears: Homogenous and mildly hyperemic with two nodules as detailed below. Feb 27, 2018 · Nodule echogenicity. 1%)에 비해 높다. Spongiform nodules have multiple microcysts in >50% of the nodule and are seen Apr 25, 2013 · A variety of ultrasound manifestations of fat necrosis have been described, including simple cysts, complex cystic and solid masses with internal echoes or mural nodules, and hyperechoic (Fig. Soft tissue masses are a common presentation in family physician offices. spongiform), shape (ovoid to round vs. This review article provides an overview of the use of the K-TIRADS compared with other risk stratification systems. Apr 29, 2021 · Malignant Nodules Can Be Identified by Their Location in the Thyroid Nodules located in the thyroid isthmus are at greater risk of being malignant than those found in the lateral lobes, whereas those in the lower portion of the lobes are at least risk. Moreover, this review describes the challenges in Right thyroid cysts. -Halo Sign: Presence of a hypoechoic or anechoic halo around the nodule. Ultrasound masses are classified according to their shape and margi… One of the most important ultrasound features of cancer is the presence of calcifications, especially microcalcifications, in a thyroid nodule. Reproductive Health Isoechoic findings in gynecological ultrasound can be related to ovarian cysts or fibroids. What Happens After an Ultrasound After a thyroid ultrasound identifies a nodule, next steps depend on factors like nodule size, ultrasound characteristics, and medical history. This appearance often indicates a solid or semi-solid mass, unlike a fluid-filled cyst which typically appears anechoic (completely dark). Mixed Cystic and Solid (1 point) Predominantly cystic (soft tissue < 50% of volume) or predominantly solid (soft tissue ≥ 50% of volume). The isthmus and left lobe (B) of the thyroid are normal in size and echotexture in the transverse view. May 14, 2025 · Echogenicity hypoechoic solid nodule most papillary thyroid carcinomas nearly all medullary thyroid carcinomas 3 benign nodules can be hypoechoic if no other malignant features (e. Margins A malignant thyroid nodule tends to have ill-defined margins on ultrasound (Fig. Grouped/coalescing isoechoic nodules (Fig. Composition: TR3 nodules are often observed to be solid or predominantly solid, which is a feature associated with malignancy. Since calcifications can also be seen in benign thyroid nodules, the aim of the current study was to examine whether ultrasound calcifications truly Aug 2, 2025 · Composition (solid, cystic, or mixed) also plays a role, as solid nodules carry a higher risk. Aug 3, 2025 · When combined, a “hypoechoic nodule” describes a distinct area within the body that appears less bright than its surroundings on an ultrasound image, suggesting a difference in tissue density or composition. 5 to 2 cm, if they have irregular margins, microcalcifications, or infiltration of the surrounding tis sue. 3~7. fi C. Jul 15, 2017 · According to the 2015 American Thyroid Association (ATA) Guidelines: Isoechoic or hyperechoic solid nodule, or partially cystic nodule with eccentric uniformly solid areas without microcalcifications, irregular margin or extrathyroidal extension, or “taller-than-wide” shape prompts low suspicion for malignancy 5–10% [4]. Different systems can predict a thyroid nodule’s risk of malignancy, or cancer, based on the nodule’s characteristics on ultrasound imaging. Ultrasound masses are classified according to their shape and margi… Apr 25, 2013 · A variety of ultrasound manifestations of fat necrosis have been described, including simple cysts, complex cystic and solid masses with internal echoes or mural nodules, and hyperechoic (Fig. predominantly solid nodule This study suggests that ultrasound features of microcalcifications, solid nodule and size larger than 2 cm can be used to identify patients at high risk for thyroid cancer. Feb 16, 2019 · Subacute hemorrhagic ovarian cyst simulating a solid ovarian mass. An overview of the investigation and management of thyroid nodules in general practice. The American College of Radiology (ACR) Thyroid Imaging Reporting and Data System (TI-RADS), introduced in 2017 The mass appears predominantly hypoechoic with: Small internal echogenic foci Echogenic dependent layering (suggestive of debris) No internal vascularity is demonstrated on color Doppler. Hyperechoic lesions of the breast encompass a wide range of conditions that are occasionally encountered during breast ultrasonography. In some studies, a nodule is called a cyst only if it is predominantly cystic on ultrasonography; however, in others, the term is applied to nodules that have any areas of cystic degeneration, which may include up to 50 percent of thyroid May 6, 2019 · An ‘ angular margin ‘ is an angular configuration at the junction between relatively hypoechoic or isoechoic central portion of a solid mass and surrounding tissue. In the sagittal view there also appears Jul 27, 2025 · Features of TR3 Nodules TR3 nodules have specific ultrasound characteristics. Suspicious nodule: note the large solitary nodule, more hypoechoic, less well de ned margins with some“bulging Figure 2. The nodules depicted in (b) and (d) proved to Nov 9, 2023 · Hypoechoic thyroid nodules are solid growths or tumors within the thyroid gland. Sep 14, 2017 · Although TI-RADS P stratified nodules into categories, it was not easy to assign every thyroid nodule into the equation proposed during reviewing the US images (e. Isoechoic – There is the same echogenicity as subcutaneous fat. Increased internal vascularity, observed with Doppler, can also raise concern. Oct 5, 2022 · This study aimed to determine the malignancy risk of thyroid nodules according to their echotexture and degree of hypoechogenicity. 1~34. 5 x4. Hypoechoic – There is decreased echogenicity relative to fat. TR3 nodules are usually observed to have edges that are smooth or slightly irregular. Predominantly solid and markedly hypoechoic nodule with punctate echogenic foci accompanying the comet-tail artifact (thick arrow) (K-TIRADS 4, intermediate suspicion). Oct 30, 2023 · Thyroid nodule ultrasounds are crucial in distinguishing between benign and malignant nodules. The Korean Thyroid Imaging Reporting and Data System (K-TIRADS) is an ultrasound-based risk stratification system for thyroid nodules that has been widely applied for the diagnosis and management of thyroid nodules since 2016. This guide clarifies TIRADS scoring, empowering you to understand your report and navigate your health journey. It usually changes during the menstrual cycle. 9 x 2. Get clear results and improve your diagnostic process with reliable insights today! Mar 14, 2022 · Solid: a tissue filled structure that appears to contain internal echoes on ultrasound. . Margins: These refer to the edges of a nodule. 5x3. Learn about the percentage of hypoechoic masses that are malignant, including risk factors, diagnostic approaches, and treatment options. 1 cm and has the following features: * composition: solid (1) * echogenicity: Predominantly isoechoic although there are a few areas hypoechoic (1) * shape: taller than wide (1) Nov 17, 2020 · Thyroid Nodules Thyroid nodules that appear isoechoic can pose diagnostic challenges. This is a reassuring general characteristic for individuals who receive such a finding during an imaging scan. A nodule in the mid right thyroid lobe measures 1. The fact that high risk features for thyroid cancer and nodule measure on a US scan can help indicate the requirement for further diagnostic survey within FNAB [12, 13]. Mar 14, 2026 · Isoechoic nodules appear similar to surrounding tissue on ultrasound. S. calcifications) then hypoechoic nodules are typically biopsied after reaching size criteria isoechoic solid nodule: 25% (follicular and medullary) Apr 12, 2022 · This consensus statement reviews the US features of superficial soft-tissue masses, classified as reliably benign, non-specific neoplastic, lymphadenopathy, or pseudomass, and provides appropriate Apr 5, 2025 · Thyroid nodules were classified into five categories in the final K-TIRADS assessment: category 1, no nodule; category 2, benign nodule (isoechoic/hyperechoic spongiform, partially cystic nodule Solid hypoechoic nodule or Isoechoic or hyperechoic Spongiform or partially Purely cystic nodule partially cystic nodule with solid nodule, or partially cystic nod- cystic nodule without We designed a multicenter study to determine if this revised definition of nodule hypoechogenicity could effec-tively stratify the malignancy risk of thyroid nodules. It is dif cult to ascertain if this nodule is benign or malignant unless fi there are invasive features such as tumour thrombus within a vessel or extrathyroidal spread. Although most lesions, including lipomas, fibromas, and epidermal and ganglion cysts, are benign, rare lesions such as Jun 7, 2017 · According to The 2015 American Thyroid Association (ATA) Guidelines: isoechoic or hyperechoic solid nodule, or partially cystic nodule with eccentric uniformly solid areas without microcalcifications, irregular margin or extrathyroidal extension, or taller than wide shape prompts low suspicion for malignancy 5–10% [1]. In other cases, the nodules can ge This study suggests that ultrasound features of microcalcifications, solid nodule and size larger than 2 cm can be used to identify patients at high risk for thyroid cancer. Heterogenous – There is a mixture of echogenic patterns within a solid mass. The nodules depicted in (b) and (d) proved to Learn about the percentage of hypoechoic masses that are malignant, including risk factors, diagnostic approaches, and treatment options. ill-defined). -Echogenicity: Isoechoic or hyperechoic compared to the surrounding thyroid tissue. This study aimed to determine the malignancy risk of thyroid nodules according to their echotexture and degree of Jan 20, 2026 · The absence of such data limits understanding of benign nodule evolution and may contribute to misinterpretation of longitudinal ultrasound findings. Less echogenic primary renal tumors can simulate more homogeneous tumors such as lymphomas or may be confused with renal cysts. Their defining characteristic is their appearance on a dedicated thyroid ultrasound scan – they appear darker than the surrounding thyroid tissue. Because many thyroid nodules don’t have symptoms, people may not even know they’re there. Oct 5, 2016 · Fat necrosis may present as a solid mass, a complex mass with mural nodules, a complex mass with echogenic bands, an anechoic mass with posterior acoustic enhancement, an anechoic mass with shadowing, or an isoechoic mass. 6 in thyroid mean? Feb 1, 2014 · The ultrasound signs of breast masses are explained by the histopathological data. Dec 15, 2017 · Did your doctor find a hypoechoic nodule on an ultrasound? Learn what this really means for your thyroid health. Keywords: thyroid nodule, thyroid cancer, fine needle aspiration, thyroid ultrasonography, thyroid cytology Introduction A long-standing concern in the management of thyroid nodules (TNs) is the ineffectiveness of risk stratification of isoechoic TNs as cancer or benign using gray-scale ultrasound (US). Isoechoic nodules. Thyroid nodules are detected in about 6 percent of women and 1-2 percent of men. A peripheral halo of decreased echogenicity is seen around hypoechoic and isoechoic nodules and is caused by either the capsule of the nodule or Longitudinal section of a cystic-solid nodule of the thyroid, mainly cystic, with smooth, oval nodule margins, and an obtuse angle between the solid part attached to the posterior wall and the nodule wall (indicated by the gray-white arrow), For isoechoic, the free edge is smooth, and the pathology confirmed nodular goiter with cystic Methods This prospective cohort study, conducted at a single large academic healthcare system in the United States, included patients with 1 or 2 clinically relevant thyroid nodules (predominantly solid and over 1 cm) presenting for diagnostic evaluation. These include a predominantly solid or mixed cystic and solid composition. 2) (9, 10). Histology: papillary carcinoma. 6~93%) solid 한 결절의 악성 위험도는 (24. Özgür Kılıçkesmez’s website. Breast-cancer is seen predominantly in women over 50 years of age and not that common in younger women. Predominantly solid nodules, however, require a structured and consistent sonographic assessment including the evaluation of nodule composition, echogenicity, calcifications, shape, margins, and Oct 30, 2018 · Isoechoic solid renal tumors may be difficult to detect with ultrasound, especially if they are small and do not displace the collecting system or produce a contour deformity. 6 in thyroid mean? 6 doctors weighed in across 4 answers A member asked: Aug 21, 2017 · The isoechoic nodule in the right thyroid lobe has a well-defined margin seen in both views. -Margins: Generally smooth and well-defined. The high prevalence of thyroid nodules, combined with the typically indolent progression of thyroid cancer, poses a significant challenge to the optimization of patient management. Nov 13, 2025 · INTRODUCTION Thyroid nodules are common, and a large proportion have mixed cystic and solid components. calcifications) then hypoechoic nodules are typically biopsied after reaching size criteria isoechoic solid nodule: 25% (follicular and medullary) Complex cystic/solid – There are both anechoic (fluid) and echogenic (solid) components. No solid enhancing components identified. When evaluating a partially cystic nodule, evaluate the solid component for other features. irregular), and margin (smooth vs. Solid – Isoechoic and Hypoechoic Follicular Adenoma This 37 year old female presents with single nodule in the left lobe of the thyroid. 7) cystic 한 결절 (3. -Growth Pattern: Tends to grow slowly if at all Nodules with low suspicion were isoechoic or hyperechoic, solid or partially cystic, with eccentric solid areas, without microcalcification, irregular margin, extrathyroidal extension, or a taller-than-wide shape. Thyroid nodules are very common, especially in the U. g. 1). Understanding the characteristics that are assessed during the ultrasound, such as size, shape, echogenicity, calcifications, and vascularity, can provide important insights into the nature of the nodule. taller-than-wide vs. The well-known malign features of nodules on US have marked hypoechogenicity compared to background thyroid, microcalcifications, and irregular margins [12, 14]. 6) should be included in this category, and FNA should be considered if 1 or more of the nodules is >20 mm. Jan 3, 2011 · In contrast, a simple cyst, a predominantly cystic or cystic nodule with reverberating artifacts and a nodule with a spongiform appearance (especially with intervening isoechoic parenchyma) are defined as probably benign nodules. Aug 18, 2025 · The majority of isoechoic nodules are benign, meaning they are non-cancerous. Feb 1, 2018 · Target nodules were evaluated for size (defined as their maximum diameter), position within the lobe, structure (cystic, fluid component >80%, spongiform, or solid), echogenicity (isoechoic, hyperechoic, and mildly or deeply hypoechoic), margins (regular, spiculated, lobulated, or peripheral halo), intranodular calcifications Feb 2, 2021 · The ultrasound image shows a solid, predominantly isoechoic nodule with incomplete rim calcification (short arrows) and a microcalcification (punctate echogenic foci) (long arrow). It should be pointed out, however, that an entirely solid isoechoic nodule corresponds in <4% of cases to a follicular cancer or a follicular variant of PTC [28, 29, 30, 31]. Isoechoic or hyperechoic nodules exceeding 1 to 1. Biopsy is recommended for mixed cystic-solid nodules that exceed 1. Others are mixed. Discover how Statcare can help you manage and treat hypoechoic masses effectively. Jan 1, 2012 · We defined “inner isoechoic rim” as a thin continuous isoechoic rim present along >50% of the inner margin of a thyroid nodule. A solid tumor or nodule can appear hyperechoic, hypoechoic or isoechoic relative to its neighboring structures. It is well dened, typically solid or predominantly solid. Feb 1, 2014 · The ultrasound signs of breast masses are explained by the histopathological data. Dual screen image without and with color Doppler interrogation shows a heterogeneous, predominantly isoechoic, solid-appearing mass (between arrows ) within the left ovary of a 41-year-old woman who presented with pelvic pain. Mar 28, 2014 · What does predominantly solid isoechoic mass with sites of cyst and increased vascularity measuring 5. Ultrasound can help evaluate a thyroid nodule and determine the need for biopsy. Aug 1, 2025 · Decode your thyroid nodule ultrasound results. The purpose of this study was to systematically characterize volume reduction and sonographic evolution in solid and predominantly solid thyroid nodules during long-term ultrasound surveillance. Dec 16, 2020 · Similarly, solid or predominantly solid nodules form a subjective continuum with mixed cystic and solid nodules. Ultrasound has good sensitivity and specificity in distinguishing a cyst from a solid mass lesion of the breast. Up to 67% of individuals undergoing ultrasound evaluation are found to have incidental thyroid nodules. Dr. 3) and hypoechoic masses. Cystic lesions have no solid components, predominantly solid lesions have ≤50% cystic components, predominantly cystic lesions have <50% solid comnents, and solid lesions have no cystic components. The margins range from circumscribed to spiculated lesions indistinguishable from cancer. what does this mean? 5 doctors weighed in across 2 answers A member asked: Feb 6, 2019 · Lesion characteristics on ultrasonography Composition is based on the ratio of cystic to solid components (Figure 2). A hypoechoic mass on ultrasound may indicate various conditions; consult a healthcare provider for accurate diagnosis and treatment. predominantly cystic vs. Note the peripheral, interrupted calcifications (arrows) and the irregular halo (arrowhead), features, which are more commonly found in follicular-predominant May 14, 2025 · Echogenicity hypoechoic solid nodule most papillary thyroid carcinomas nearly all medullary thyroid carcinomas 3 benign nodules can be hypoechoic if no other malignant features (e. The echogenicity is isoechoic (similar to surrounding thyroid tissue) or mildly hypoechoic (slightly darker than surrounding thyroid tissue). Images from ultrasound exams performed on different patients show (a) a hypoechoic nodule, (b) a hyperechoic nodule, (c) an isoechoic nodule, (d) a heterogeneous solid nodule with both hyperechoic and hypoechoic solid portions, and (e) a mixed cystic and solid nodule in which the solid component is isoechoic to the parenchyma. A thyroid nodule is a lump in or on the thyroid gland. Various risk stratification systems show discrepancies in the ultrasound lexicon of nodule echotexture and hypoechogenicity. -Shape: More likely to be round or oval. We would like to show you a description here but the site won’t allow us. Are thyroid nodules cancer? The vast majority — more than 95% — of thyroid nodules are benign (noncancerous). Feb 1, 2013 · This study aimed to assess the malignancy rate of solid and isoechoic thyroid nodules without malignant sonographic features (SITNs) and to compare th… Nov 9, 2023 · Hypoechoic thyroid nodules are solid growths or tumors within the thyroid gland. Each nodule was evaluated for the following US findings of entire nodule: size (the longest diameter), internal content (predominantly solid vs. Spongiform 은 Honeycomb이라고도 하는데 Isoechoic nodule이 multiple microcystic component가 50% 이상일 때를 말한다. Sometimes, specialists refer to these features as ‘jagged’ or ‘irregular’ margins. Although typical hyperechoic lesions with a distinct fat component on imaging are well known, some hyperechoic Biopsy is recommended for all solid hypoechoic nodules that exceed 1 cm in diameter. Of 382 SITNs with the largest diameter ≥10 mm, nodule size, no … Mar 14, 2026 · Use our easy-to-use TI-RADS calculator to assess thyroid nodules accurately. The echogenicity of a mass on ultrasound is described as anechoic, hyperechoic, complex cystic and solid, hypoechoic, isoechoic, or heteroechoic. In fact, experts estimate that about half of Americans will have one by the time they’re 60 years old. What does predominantly solid isoechoic mass with sites of cyst and increased vascularity measuring 5. Ultrasound of the mass in sagittal (a) and transverse view (b) reveals a complex mass with isoechoic and hypoechoic nodular components. Therefore, a clinician might want to include nodule location in the decision process to proceed or not with a nodule biopsy. Healthcare professionals may use other ultrasound features, such as vascularity or irregular borders, to assess the risk of malignancy. Jul 24, 2020 · 대부분의 갑상선암은 solid이기 때문에 (81. As a general rule, nodules that are at least 95% solid should be considered predominantly solid and should be assigned 2 points for composition [20]. Longitudinal grey scale sonogram shows a solid, hypoechoic thyroid nodule (arrows) with ill-defined margins anteriorly. Caution! About 15–20% of thyroid cancers are isoechoic or hyperechoic For What Do Hypoechoic, Isoechoic, and Hyperechoic Nodules Mean? and more interventional radiology content, visit Prof. Some are solid, and some are fluid-filled cysts. The pathologic correlate of this is unclear; it may correspond to intact still-solid components at the periphery of a nodule, which appear as isoechoic rims lining the inner wall of pre-existing cystic nodules. Jun 3, 2020 · To characterize thyroid nodules and obtain an initial estimate of their risk for malignancy, the examiner should focus on the echogenicity of the nodule; its composition (solid, cystic, mixed), shape, and margins; the presence within the nodule of calcifications or other hyperechoic foci; and the characteristics of all cervical lymph nodes (7). This study aimed to assess the malignancy rate of solid and isoechoic thyroid nodules without malignant sonographic features (SITNs) and to compare the malignant and benign SITNs according to nodule size, shape and color Doppler pattern. Solid nodules usually carry a higher possibility for being cancerous relative to cystic nodules. 5 cm should undergo biopsy. Palpable glandular tissue is seen in young women, in pregnancy and breast-feeding. (A) Transverse view of the right lobe of the thyroid shows a solid nodule (N) with echogenicity relatively similar to the background parenchyma that proved to be a follicular variant of papillary carcinoma. Adjacent vascular structures appear normal. spiculated or microlobulated vs. Dec 1, 2011 · In contrast, a simple cyst, a predominantly cystic or cystic nodule with reverberating artifacts and a nodule with a spongiform appearance (especially with intervening isoechoic parenchyma) are defined as probably benign nodules. The normal thyroid tissue is seen superiorly in image a and medically in image b. The presence of microcalcifications on an ultrasound is felt to be highly suggestive of thyroid cancer. 6 x 1. kwu rdgxm llwqwjaow zeob zpxp yafe hmud dctptqv webydvt ofieh
Predominantly solid isoechoic nodule.  dominant mid pole left predominantly solid left thyr...Predominantly solid isoechoic nodule.  dominant mid pole left predominantly solid left thyr...